今回は、「入れ歯が合わず、しっかり噛めない」というお悩みを抱えた60代後半の女性の症例をご紹介します。
長年、部分入れ歯を使用されていましたが、安定せず噛みにくい状態が続いていたとのこと。
しっかり噛めるように改善したいというご希望で当院へ相談に来られました。
【患者様データファイル】
■ 年代:60代後半
■ 性別:女性
■ 主訴:入れ歯が合わない・噛めない
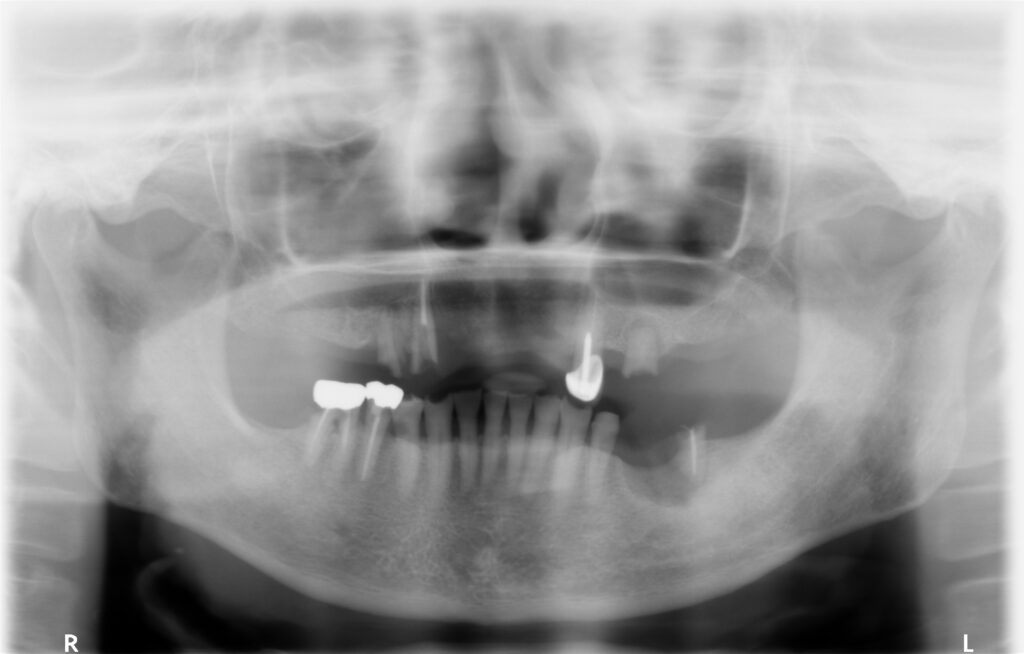
■治療前の状態
パノラマレントゲンから、上顎・下顎ともに残っている歯が少なく、噛み合わせのバランスも不安定な状態でした。
・上顎:3・3・4・6番のみ残存
・下顎:5・6・7番のみ残存
上顎は残っている歯の位置と本数が少なく、部分入れ歯の維持が不十分で、日常生活に支障が出ている状態でした。
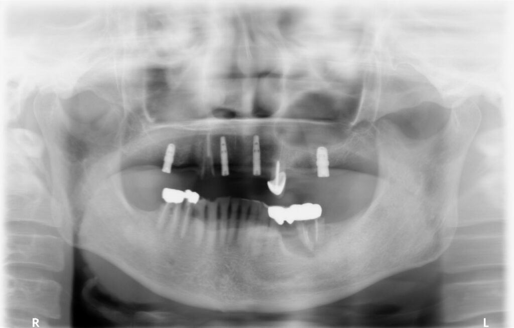
■治療中の処置
▼上顎
実際には抜歯が必須ではない歯もありましたが、噛み合わせの平面を整えたうえで総義歯を管理しやすくするため、相談のうえで抜歯を選択。
その後、上顎に2本のインプラントを埋入しました。
▼下顎
過去にブリッジ治療が行われていた部分を撤去し、インプラント治療へ変更。
骨が不足していたため、骨移植(GBR)を併用しています。
■治療計画
今回ご提案した治療プランは以下のとおりです。
1.欠損部位(上下顎)のインプラント治療
2.上顎をインプラントオーバーデンチャーへ変更
3.審美面を考慮し、上下顎の仮歯を段階的に調整
上顎はもともと部分入れ歯を使用されていたため、インプラントを用いたオーバーデンチャーへ移行することで、
安定性・噛み心地を大幅に改善できると判断しました。
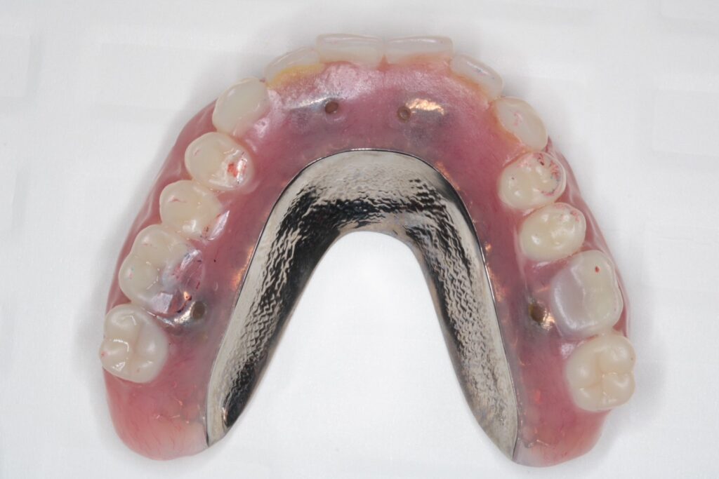
今回使用したのは、精密性が高いコーヌステンチャー(ロケーター義歯よりも精密)。
■色合わせ(シェードテイク)
最終的な見た目が自然になるよう、歯の色合わせを慎重に行いました。
患者さまの肌色や口元の印象に調和する色を選択し、違和感のない自然な仕上がりを目指しています。

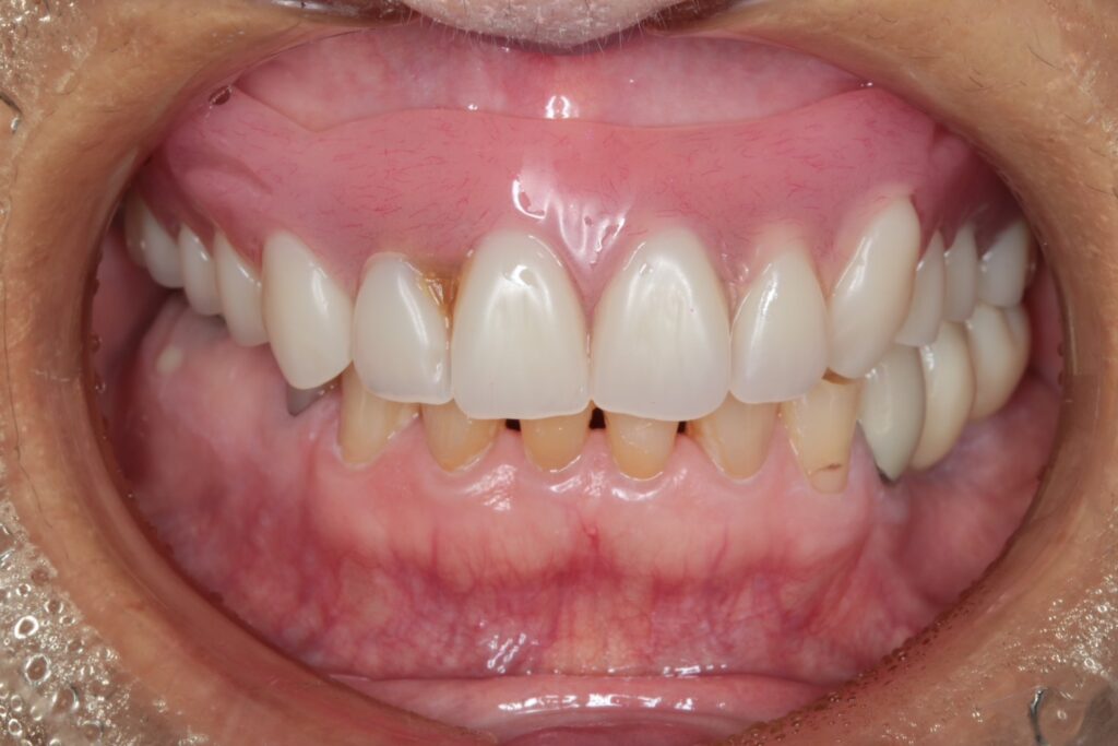
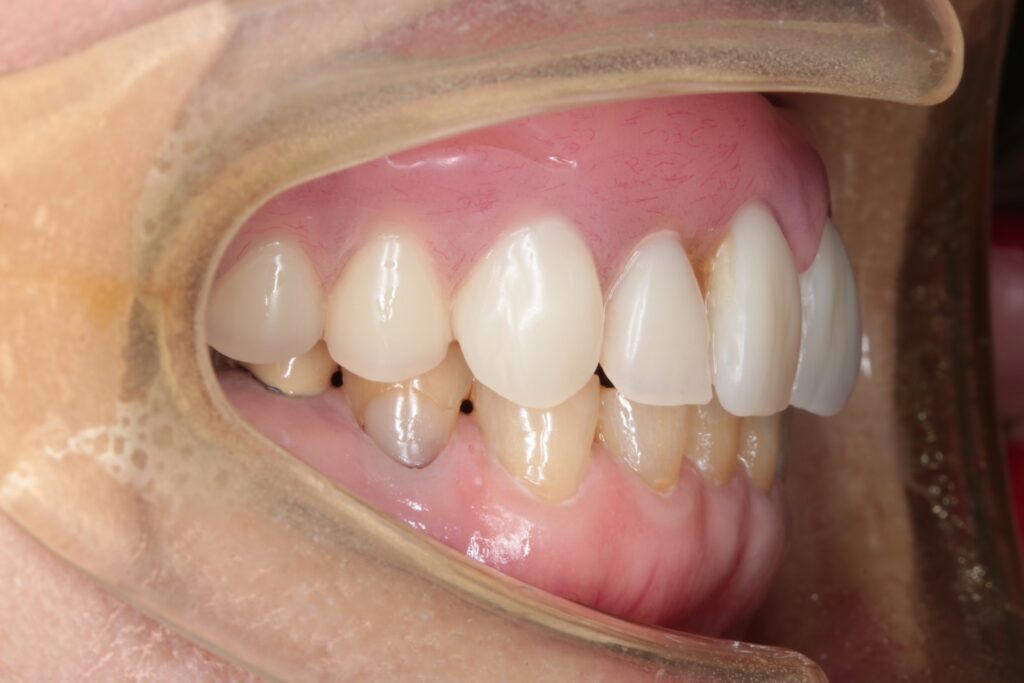
■術後の状態
治療後の写真を見ると、上下ともに大きく審美性が改善し、笑顔の印象も自然になりました。
また、噛み合わせも安定し、患者さまからは「噛めるようになって本当に嬉しい」とのお声をいただきました。
最終義歯は、
➀お出かけ用
➁自宅用
の2種類を製作。
どちらも元の歯並びに寄せて、自然な見た目に仕上げています。
■オーバーデンチャーのメリット
今回採用したスクリューリテインは、セメント固定と比べて予後管理がしやすいのが大きな特徴です。
もしインプラントを外す必要が生じた際でも、迅速に対応可能
清掃性が高く、毎日のケアがしやすい
入れ歯より噛む力が強く、長期間の使用でのすり減りも少ない
さらに、5〜6年経過後の義歯も、必要に応じて修理・新調が可能です。
インプラントも定期的なメインテナンスを継続できれば、10年以上・場合によっては一生使うことも可能です。
残っていた歯を無理に利用するブリッジと異なり、周囲の歯に負担をかけずに治療できる点も大きなメリットです。
【5~6年後の実際の状態】

インプラントオーバーデンチャーは、一般的な入れ歯と比べて 噛む力が強く、安定性が高い のが大きな特徴です。
しっかり噛めることで、日常の食事の満足度が上がるだけでなく、長期的には義歯のすり減りが少なく、トラブルも起こりにくくなります。
また、使用していく中で必要があれば、人工歯の修理や新調が可能 です。
定期的に状態をチェックしながら、より良い状態を長く保つことができます。
自然歯の代用で埋入するため、ブリッジなどとは異なり、周りの歯に負担をかけずには本来の役割を担います。
このように一人ひとりの嚙み合わせなどに併せた最適なインプラント治療を行うためには、綿密な設計が重要になります。
【コーヌスデンチャー】
今回採用した「コーヌステンチャー」は、
■フィット感が非常に高い
■安定性に優れている
という点が大きなメリットです。
ロケーター義歯のように着脱のしやすさを重視したタイプもありますが、
精密な噛み合わせや長期の安定性を求める場合には、コーヌスが適している ケースも多くあります。
どちらを選ぶべきかは、患者さまのお口の状態や生活スタイルに合わせて最適なものをご提案しています。
| 術名 | インプラント治療/インプラントオーバーデンチャー |
|---|---|
| 年齢/性別 | 60代後半 女性 |
| 主訴 | 入れ歯が合わない、しっかり噛めない |
| 治療内容 | 上下顎インプラント、オーバーデンチャー製作、追加入れ歯製作 |
| 通院回数 | 10回 |
| 費用 | 上顎:1,706,400円(税込) 下顎:1,587,820円(税込) 義歯:231,500円(税込) |
| リスク・副作用 |
・症例により治療期間・通院回数は異なります。 ・口腔衛生状態によりインプラント周囲炎が生じる可能性があります。 ・本治療は自費診療です。 |







