![]() |
|
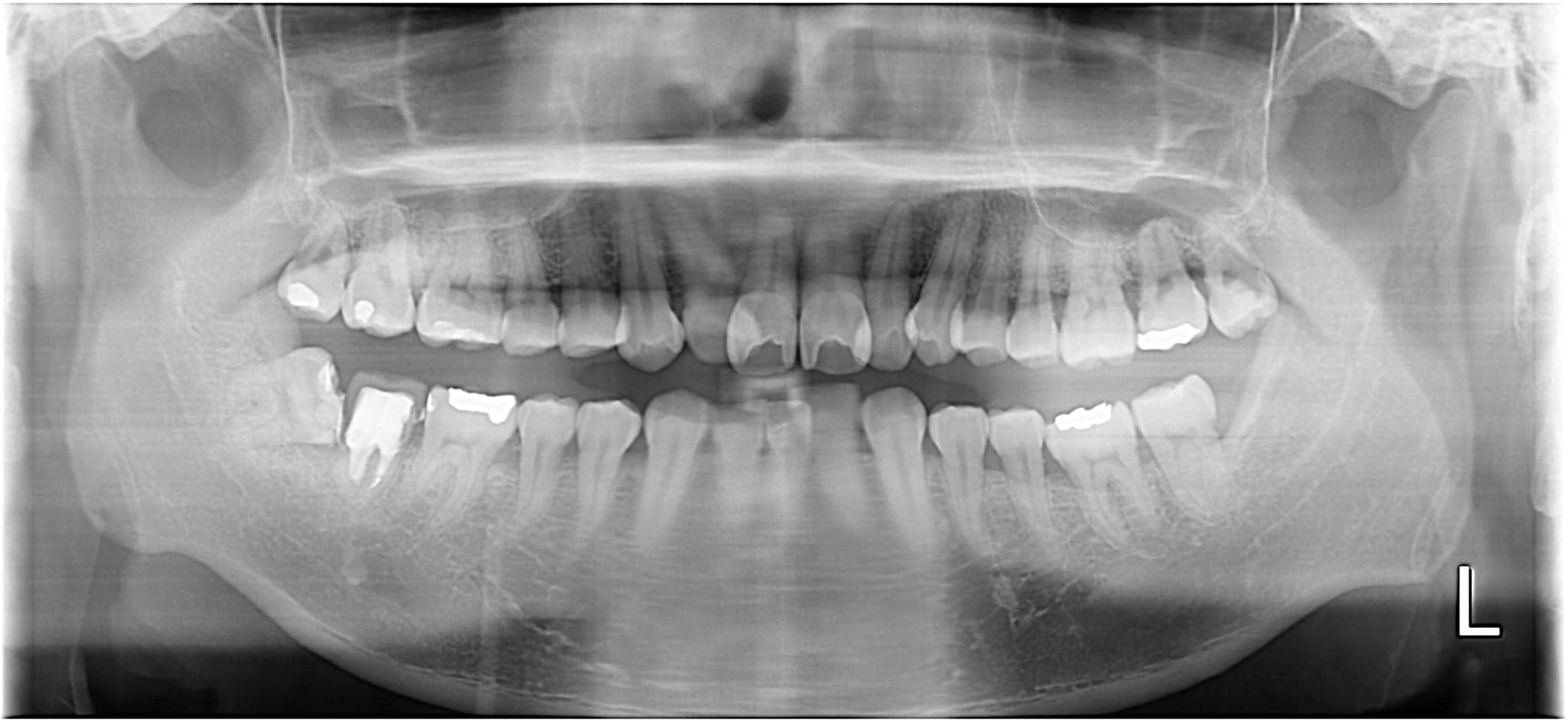
| 術名 | 親知らずの抜歯 |
|---|---|
| 生え方 | 右下:斜め、真横に生えている 左:まっすぐキレイ |
| 年齢 | 30代 |
| 性別 | 男性 |
| 主訴 | 腫れ |
| 診断名 | Pericoぺリコ(智歯周囲炎) |
| 治療内容 | 親知らずの抜歯 |
| 治療期間 | 施術:1日(経過観察:1か月後) |
| 治療費用 | 6,000円 ※保険適用3割負担の場合(CT/パノラマレントゲン含む) |
| リスク・副作用 | ・術後の腫れ ・ドライソケット |
![]() |
|
| 術名 | 親知らずの抜歯 |
|---|---|
| 生え方 | 右下:斜め、真横に生えている 左:まっすぐキレイ |
| 年齢 | 30代 |
| 性別 | 男性 |
| 主訴 | 腫れ |
| 診断名 | Pericoぺリコ(智歯周囲炎) |
| 治療内容 | 親知らずの抜歯 |
| 治療期間 | 施術:1日(経過観察:1か月後) |
| 治療費用 | 6,000円 ※保険適用3割負担の場合(CT/パノラマレントゲン含む) |
| リスク・副作用 | ・術後の腫れ ・ドライソケット |